
If you’re experiencing leg pain, swelling, or difficulty walking due to poor circulation, one of the first steps toward relief is getting a clear diagnosis. A peripheral angiogram is a minimally invasive imaging test that allows doctors to see the blood flow in your arms and legs. By using a special dye and advanced imaging, the procedure highlights narrowed or blocked arteries that may be restricting circulation.
At Valley Interventional Associates, Dr. John Lee and Dr. Navin Budhwani specialize in diagnosing vascular issues with precision. With extensive expertise in interventional cardiology and advanced imaging techniques, they provide patients with accurate diagnoses and personalized treatment plans.
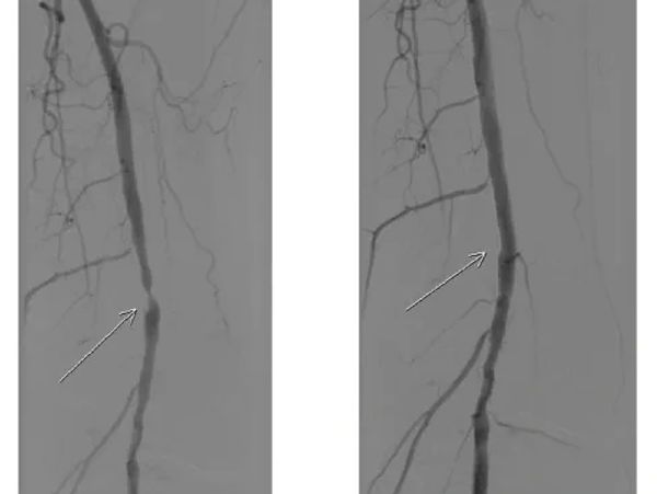
What Is a Peripheral Angiogram?
A peripheral angiogram is an imaging test used to evaluate the blood vessels in your limbs. During the procedure, a contrast dye is injected into your arteries, and X-ray images are taken to show how blood is moving through the vessels. This test helps identify:
- Narrowed arteries caused by plaque buildup
- Blockages that may be limiting circulation
- Areas at risk for ulcers or wounds due to poor blood flow
Benefits of a Peripheral Angiogram
- Gives you a clear picture of blood flow in your arms or legs
- Pinpoints the exact location and severity of blockages
- Helps guide treatment decisions, such as angioplasty or stenting
- Minimally invasive with quick recovery time
- Offers reassurance and clarity about your vascular health
Who Needs a Peripheral Angiogram?
Your doctor may recommend this diagnostic procedure if you:
- Feel pain in your legs when walking (intermittent claudication)
- Have wounds on your feet or legs that are slow to heal
- Show signs of peripheral arterial disease (PAD)
- Have risk factors such as diabetes, smoking, obesity, high cholesterol, or high blood pressure
The Peripheral Angiogram Process
- A small catheter is inserted, usually through the groin.
- A contrast dye is injected into your arteries.
- Imaging captures real-time pictures of blood flow in your legs or arms.
- Your doctor reviews the results immediately and discusses next steps.
The procedure is typically performed on an outpatient basis, and you can usually return home the same day.
Recovery and Results
Recovery after a peripheral angiogram is generally quick. You may need to rest for several hours after the procedure but can often resume normal activities shortly afterward. Because results are available immediately, your doctor can talk with you about treatment options—such as a peripheral angioplasty or stenting—without delay.

Why Choose Valley Interventional Associates for Peripheral Angiograms?
- Board-certified interventional cardiologists with specialized vascular training
- Access to the latest imaging technology for accurate diagnosis
- A one-stop destination for vascular care, including angiograms, angioplasty, venograms, wound care, and ultrasound services
- Compassionate, patient-focused team committed to helping you improve circulation and quality of life
Take the Next Step Toward Better Circulation
A peripheral angiogram can provide the answers you need to finally address leg pain and poor circulation. At Valley Interventional Associates, patients in the Tri-state area have access to advanced diagnostic tools and minimally invasive treatments—all in one trusted location. To learn more, contact our team at (973) 692-0033.